Le Cabinet d'Orthodontie, situé à Paris au quartier Ranelagh du 16 ème arrondissement, vous propose un panel de traitements orthodontiques et posturaux sur mesure, Hawley, Soulet-Besombes, Planas, Robin, machouilleurs, Dentosophie, Delaire, Biokinergie, Aligneurs du type Invasilign Spark traitement multiattaches ou bagues (métalliques ou céramiques )...
Le type d'appareil étant choisi avec le patient en fonction de l'analyse complète de son occlusion et de sa posture.
Le traitement d'orthodontie sera accompagné d'un suivi chez un ostéopathe pour garantir un équilibre occlusal et postural pérenne.







Diagnostic et plan de traitement d'orthopédie dento maxillo faciale afin de traiter enfants et adultes dans un souci d'équilibre postural Techniques diverses en fonction de chaque cas, Planas, Dentosophie, Robin, Delaire, disjoncteurs, traitement multiattaches, traitement en aligners ( gouttieres transparentes).
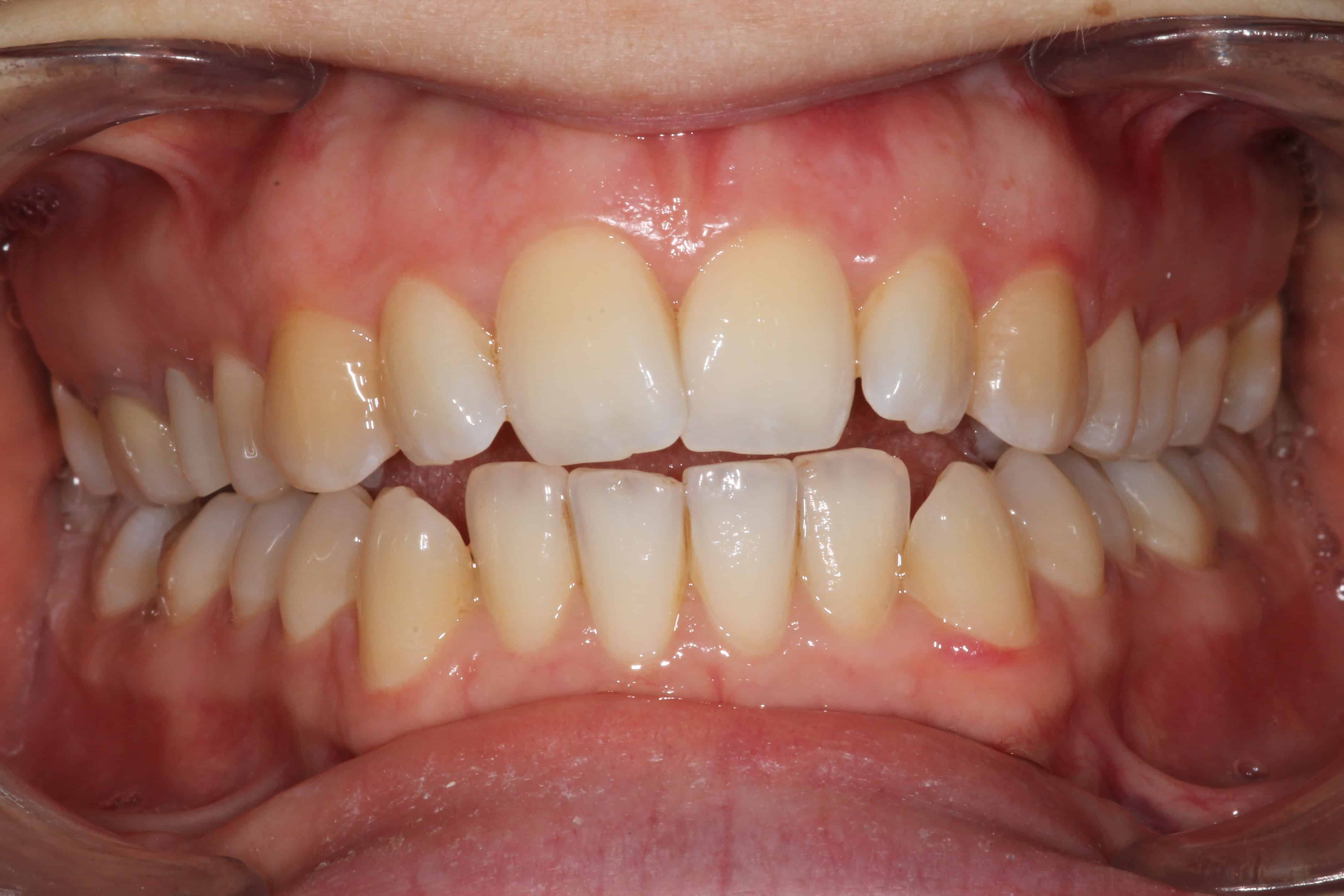
Exemple de cas :


les télécrânes pour l'orthodontie:







